自家歯牙移植

抜歯されたとき、入れ歯にしない方法にはいくつかありますので、最適な治療法を見つけるために担当の歯科医師とよくご相談ください。




 歯を抜歯した時、義歯以外で噛み合わせの機能を回復するには4つの方法があります。

 ブリッジ 欠損部の両側の歯を削り冠を被せます。冠と冠を構造体でつなぎ欠損部で噛めるようにします。


利点:オーソドックスな治療法で成功率が高い。また治療期間も短くてすみます。
欠点:両側の歯をある程度削らなくてはならないのが最大の欠点です。両側の歯がむし歯のない天然歯の場合、治療の有益性が天然歯切削のリスクを凌駕する場合に適応となります。
 矯正的移動 隣在歯を移動して欠損部を埋めるか、抜歯スペースそのものを閉じてしまいます。


利点:移動した歯は神経も歯根膜も失っていない健康な歯ですので、新陳代謝が保たれ、いつまでもみずみずしい状態であり、また歯根膜がついているので、歯に加わる力を感じて脳に伝え、噛む力を調節することができます。
欠点:@ 矯正治療は保険外の治療になるために治療費用が全額患者さんの負担になります。
ふつう3〜4本の歯に装置がつくだけの部分的な矯正治療の費用は簡単なもので7万円から、歯の上下的な移動を伴う複雑なもので25万円ほどかかります。また歯並び全体に装置をつける成人矯正治療が必要な場合は、簡単なもので30万円、複雑な場合が60万円ほどかかります。
A 治療期間が長いのも欠点で、成人では装置をつけても歯が目に見えて動き出すのに4週間かかります。歯を1mm平行に動かすのに1ヶ月必要ですから、移動距離が長ければ6ヶ月〜2年ほどかかる場合がでてきます。
 インプラント チタンのスクリューを外科手術で顎の骨の中に直接ねじ込みます。


利点:@ 欠損部に隣接した健康な天然歯を削らなくてすみます。
    A 義歯と違い、噛む力を顎骨で直接受け止めるために、よく噛めます。
    B 噛み合わせのストレスを負担し、残っている他の天延歯の負担を減らすことができます。
    C 入れ歯を入れなくてすみます。
欠点: @ 治療費が高額です。手術料がおよそ1本12万円(専門機関で手術した場合)〜17万円(当院で手術した場合)、上に被せる冠も1本14万円程度かかります。したがって下顎の奥歯の欠損部に2本インプラントブリッジを入れると、断層撮影などの経費を含めて、患者さんの総負担額は50万円程度になります。
     A 外科手術を行わなければなりませんので、患者さんの体質、基礎疾患、顎骨の状態により手術ができない場合が多々あります。手術に伴う合併症のリスクもあり、例えば下顎の場合だと神経損傷、上顎の場合だと骨質が柔らかいため、インプラントが骨につかない場合がまれに起こります。
     B インプラントには天然歯と異なり歯根膜がありませんから、噛む力を精密に調節することはできません。したがって身体の他の部分に害を与えるほど噛みすぎてしまうおそれがあります。
     C 治療後の適切な清掃や定期健診を怠ると、インプラントの周囲炎、破折、インプラント以外の天然歯の歯周病の進行など様々なトラブルが起こる可能性があります。
 自家歯牙移植 主に噛み合せに参加していない智歯などを、抜歯した穴に埋め込みます。
利点:@ 移植した歯には歯根膜がついているので、歯に加わる力を感じて脳に伝え、噛む力を調節することができます。
    A 移植した歯は矯正治療で移動することができます。
    B インプラントと異なり、親知らずを抜歯窩に自家移植する場合、保険内治療でできます。抜歯窩以外への移植は保険の対象外のため1本6万円程度かかります。
欠点:@ 移植した智歯が根未完成歯の場合は別ですが、歯根が完成した智歯を自家移植した場合は、歯髄が失われます。神経を失った歯は枯れ木と同じですので、むし歯になりやすく歯根破折を起こしやすくなります。
    A 移植する智歯の形が抜歯窩に適合しなければ移植はできません。
    B 移植をした歯が必ずしも生着するとは限りません。当院の場合では200本以上の自家移植において、40歳以下でタバコを吸わない人の1年後の成功率は88%ですが、40歳以上でタバコを吸う人の成功率は60%以下に低下しています。自家移植に失敗した場合は単なる親知らずの抜歯になってしまいます。



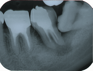
  40歳女性 左下8を左下7へ自家移植  


左下7は根尖にいたるまで感染が進み、抜歯しなければなりません。
すぐ後ろにある智歯を移植することにしました。

2004.4.22
抜歯した左下7です。

2004.4.22移植した親知らずです。

移植に用いた左下智歯です。

移植当日です。

2004.5.19
自家移植後
3週間

2004.5.19
自家移植後
3週間
2005.9.21


自家移植を行った歯は矯正治療ができるので、開咬の治療を行っています。
自家移植により患者さんは保険内の費用で、左下奥歯の噛み合わせを守ることができました。